TimeSink
  • Communities
  • Create Post
  • heart
    Support Lemmy
  • search
    Search
  • Login
  • Sign Up
Mog Spawn@lemmy.world to News@lemmy.worldEnglish · 3 months ago

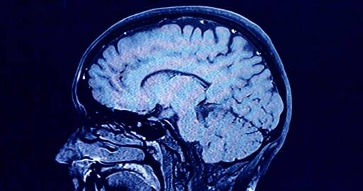
Human brains have 5 distinct 'epochs' in a lifetime, study finds

www.nbcnews.com

external-link
message-square
12
link
fedilink
  • cross-posted to:
  • science@lemmy.world
48
external-link

Human brains have 5 distinct 'epochs' in a lifetime, study finds

www.nbcnews.com

Mog Spawn@lemmy.world to News@lemmy.worldEnglish · 3 months ago
message-square
12
link
fedilink
  • cross-posted to:
  • science@lemmy.world
During each of these phases, our brains show markedly different characteristics in their architecture, according to the new findings.
  • 🇰 🌀 🇱 🌀 🇳 🇦 🇸 🇰 🇦 🇵 🇮@lemmy.world
    link
    fedilink
    arrow-up
    4
    ·
    3 months ago

    If they said it then I missed it, but I wonder how much variation there is between individuals and how much that follows genetics and external factors like (un)healthy habits, environment, experiences, etc.

News@lemmy.world

news@lemmy.world

Subscribe from Remote Instance

Create a post
You are not logged in. However you can subscribe from another Fediverse account, for example Lemmy or Mastodon. To do this, paste the following into the search field of your instance: !news@lemmy.world

Welcome to the News community!

Rules:

1. Be civil

Attack the argument, not the person. No racism/sexism/bigotry. Good faith argumentation only. This includes accusing another user of being a bot or paid actor. Trolling is uncivil and is grounds for removal and/or a community ban. Do not respond to rule-breaking content; report it and move on.


2. All posts should contain a source (url) that is as reliable and unbiased as possible and must only contain one link.

Obvious biased sources will be removed at the mods’ discretion. Supporting links can be added in comments or posted separately but not to the post body. Sources may be checked for reliability using Wikipedia, MBFC, AdFontes, GroundNews, etc.


3. No bots, spam or self-promotion.

Only approved bots, which follow the guidelines for bots set by the instance, are allowed.


4. Post titles should be the same as the article used as source. Clickbait titles may be removed.

Posts which titles don’t match the source may be removed. If the site changed their headline, we may ask you to update the post title. Clickbait titles use hyperbolic language and do not accurately describe the article content. When necessary, post titles may be edited, clearly marked with [brackets], but may never be used to editorialize or comment on the content.


5. Only recent news is allowed.

Posts must be news from the most recent 30 days.


6. All posts must be news articles.

No opinion pieces, Listicles, editorials, videos, blogs, press releases, or celebrity gossip will be allowed. All posts will be judged on a case-by-case basis. Mods may use discretion to pre-approve videos or press releases from highly credible sources that provide unique, newsworthy content not available or possible in another format.


7. No duplicate posts.

If an article has already been posted, it will be removed. Different articles reporting on the same subject are permitted. If the post that matches your post is very old, we refer you to rule 5.


8. Misinformation is prohibited.

Misinformation / propaganda is strictly prohibited. Any comment or post containing or linking to misinformation will be removed. If you feel that your post has been removed in error, credible sources must be provided.


9. No link shorteners or news aggregators.

All posts must link to original article sources. You may include archival links in the post description. News aggregators such as Yahoo, Google, Hacker News, etc. should be avoided in favor of the original source link. Newswire services such as AP, Reuters, or AFP, are frequently republished and may be shared from other credible sources.


10. Don't copy entire article in your post body

For copyright reasons, you are not allowed to copy an entire article into your post body. This is an instance wide rule, that is strictly enforced in this community.

Visibility: Public
globe

This community can be federated to other instances and be posted/commented in by their users.

  • 2.81K users / day
  • 6.2K users / week
  • 11.7K users / month
  • 24.8K users / 6 months
  • 1 local subscriber
  • 36.5K subscribers
  • 23.8K Posts
  • 486K Comments
  • Modlog
  • mods:
  • JonsJava@lemmy.world
  • gedaliyah@lemmy.world
  • 🌱 🐄🌱 @lemmy.world
  • jeffw@lemmy.world
  • enu@lemmy.world
  • rjc@lemmy.world
  • Tenthrow@lemmy.world
  • BE: 0.19.15
  • Modlog
  • Instances
  • Docs
  • Code
  • join-lemmy.org